
前言

全球变暖、夏天越来越热,早已不是新闻。但你可能不知道:反复高温暴露,不只是让人中暑、难受,还会通过一条全新的「皮肤–下丘脑」通路,悄悄改写你的代谢,让你更容易长胖、得糖尿病。
2026年4月21日,中南大学湘雅医院内分泌科罗湘杭教授、黄燕副研究员、周海燕教授团队联合山东省立医院赵家军教授团队在线发表Cell文章“A skin-hypothalamus axis couples heat stress and metabolic dysfunction”首次揭示热应激通过皮肤-下丘脑轴引发长期代谢紊乱:皮肤来源的KLK14进入循环后作用于下丘脑LRRC7⁺星形胶质细胞,经ALKBH1介导的表观遗传重编程增强GABA合成,抑制PVNOXT神经元并降低脂肪交感神经活性,最终导致内脏脂肪堆积与胰岛素抵抗;维生素A可通过降低 KLK14 水平,在小鼠与人体中逆转该代谢损伤,为全球变暖相关代谢病提供干预靶点。欧易生物提供了单细胞转录组和转录组测序分析等工作。


技术路线



关键发现与实验结论

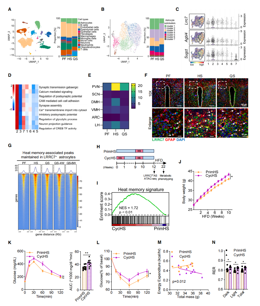
1. 热应激诱发持久代谢紊乱(小鼠+人群)
小鼠:37℃、6h/天、1周热应激,恢复期血糖恢复,但后续高脂饮食会出现体重更快增加、糖耐量异常、胰岛素抵抗、内脏脂肪增多,且持续4–8周。
人群:342名长沙外卖员队列显示,≥37℃高温暴露与BMI、腰围、内脏脂肪面积、HOMA-IR 显著正相关。

图1. HS暴露会加速小鼠和人类的代谢功能障碍
2. 下丘脑LRRC7+星形胶质细胞储存“高温记忆”
通过单细胞转录组测序(scRNA-seq)发现热应激可诱导下丘脑LRRC7⁺星形胶质细胞发生特异性扩增,富集于室旁核PVN。
表观测序(ATAC-seq)显示:热应激开启3338个染色质开放位点,形成可维持4周的表观记忆,8周后逐渐消退。
再次热刺激可快速召回记忆,代谢紊乱更严重。

图2. 下丘脑LRRC7阳性星形胶质细胞在热应激后仍保留持续的热记忆
3. 皮肤来源KLK14是关键信号分子
热应激诱导皮肤表皮细胞高分泌KLK14,进入血液并穿过血脑屏障。
皮肤特异性敲除KLK14可完全阻断高温记忆形成与代谢损伤。
KLK14受体为星形胶质表面CHL1。

图3. LRRC7+星形胶质细胞在HS条件下受到皮肤来源的KLK14分子的印记调控
4. ALKBH1介导表观遗传重编程
KLK14-CHL1通路上调ALKBH1,降低DNA N⁶-mA甲基化。
开放染色质富集于GABA能突触、钙信号通路,促进星形胶质合成GABA。

图4. ALKBH1调控LRRC7+星形胶质细胞中KLK14诱导的表观遗传记忆
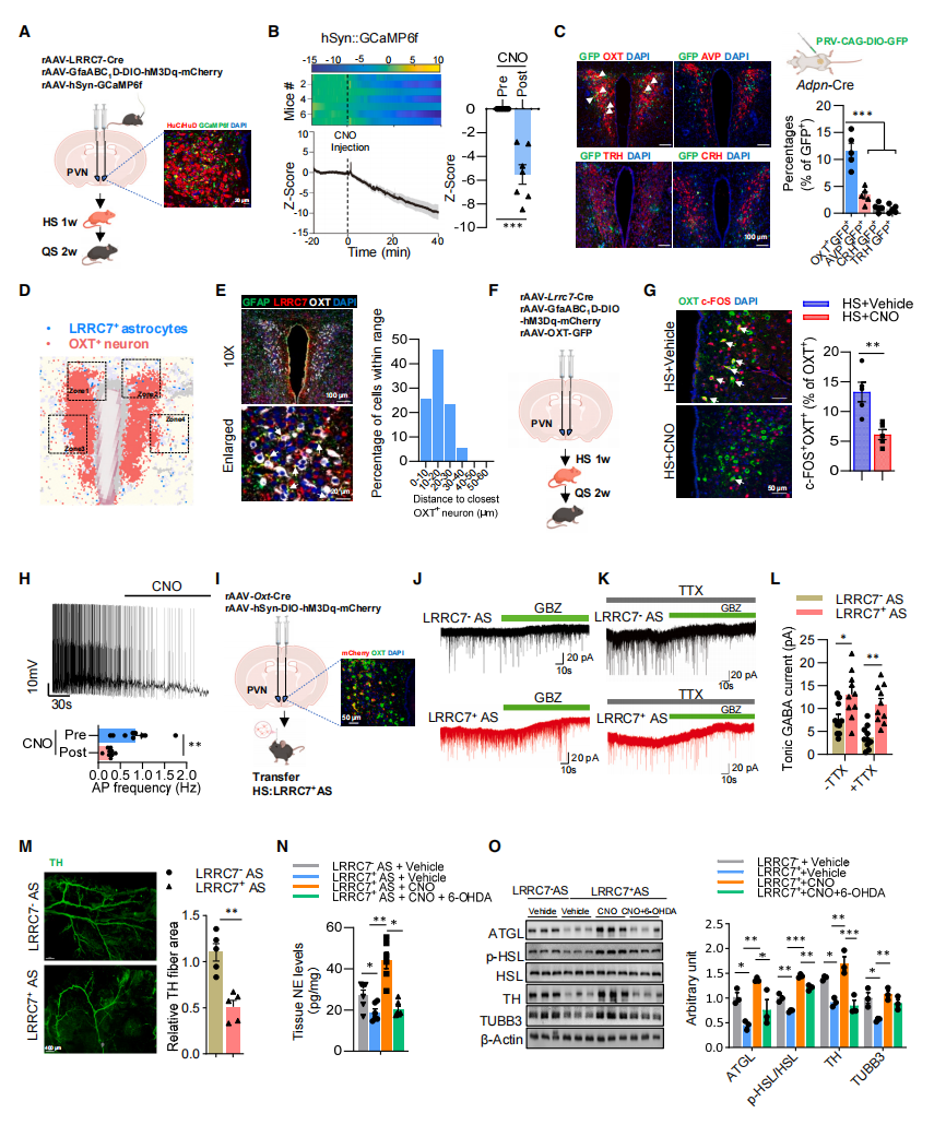
5. 神经 - 脂肪环路驱动脂肪沉积
LRRC7+星形胶质释放GABA,抑制PVN催产素(OXT)神经元。
交感神经输出下降→脂肪去甲肾上腺素NE减少→脂解关键蛋白ATGL/p-HSL下降→内脏脂肪堆积。

图5. LRRC7阳性星形胶质细胞通过抑制 PVNOXT 神经元-交感神经系统(SNS)回路来促进内脏脂肪沉积
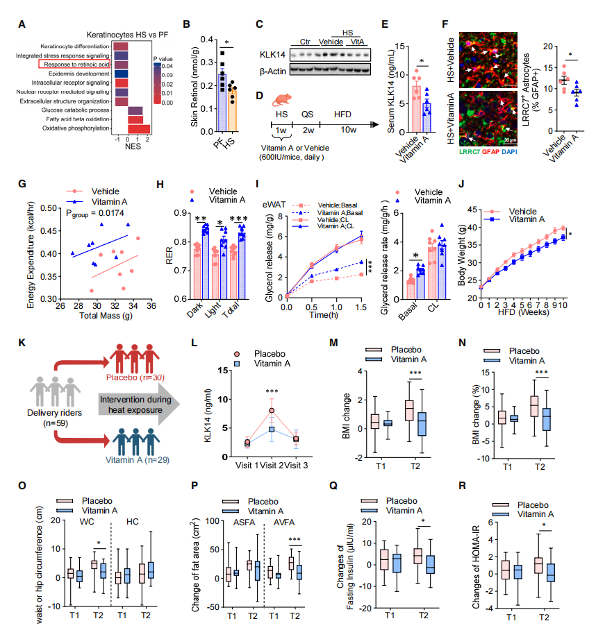
6. 维生素A安全有效逆转损伤
小鼠:600IU/天维生素A可降低皮肤与血清KLK14,恢复能耗与脂解。
人群:5000IU/天维生素A(安全剂量),8周后:
BMI 增幅:安慰剂5.04% vs 维生素A1.56%
内脏脂肪面积少增15.36cm2
胰岛素抵抗HOMA-IR少增0.78

图6. 维生素A可改善接触HS的小鼠和人类的KLK14水平,并缓解代谢功能障碍

文献来源

https://doi.org/10.1016/j.cell.2026.03.045






