牛牛+杂交雄性不育研究领域又添新发现!
2023年9月15日,中国农业科学院兰州畜牧与兽药研究所郭宪研究员团队在International Journal of Biological Macromolecules(IF 8.2)上在线发表了题为“Single-cell RNA sequencing and UPHLC-MS/MS targeted metabolomics offer new insights into the etiological asis for male cattle-yak sterility”的文章,文章构建了牦牛和犏牛(牦牛与普通牛的杂交后代)睾丸单细胞图谱,并揭示了牦牛和犏牛睾丸组织细胞通讯网络的异同,为雄性杂交后代不育的生理学研究提供了新的见解。欧易生物提供了该项目的单细胞转录组测序实验和分析工作。
接下来,我们具体了解一下作者针对“哺乳动物杂交后代雄性不育”这一研究课题,是如何应用单细胞测序展开的信息挖掘及如何结合湿实验验证提升结果的可靠性的吧。
发表期刊:International Journal of Biological Macromolecule 影响因子:8.2 材料:6头公牦牛和6头公犏牛(犏牛杂交后代)的睾丸组织用于靶向代谢测序;1头公牦牛和1头公犏牛的睾丸组织用于单细胞测序 方法:10x Genomics单细胞转录组测序;UPHLC-MS/MS靶向代谢
动物杂交通常是为了促进来自两个亲本物种的有利性状整合,提高动物的整体性能。但种间杂交后代不育现象在自然界普遍存在,且杂交不育阻断了物种间的基因交流,是生殖隔离的重要屏障。 犏牛是牦牛(Bos grunniens)和普通牛(Bos taurus)的杂交后代,兼具高寒极端环境适应能力和较好的产肉、奶等优良经济性状。雄性犏牛生精阻滞,是解析哺乳动物杂交雄性不育的理想模型。虽然已有一些研究试图探索雄性犏牛不育的病因学基础,但尚未有对这一现象进行系统的细胞研究。
本研究采用单细胞RNA测序和UPHLC-MS/MS靶向代谢组学研究雄牦牛与雄犏牛睾丸组织的差异。基于scRNA-seq描绘睾丸中各种细胞类型的分子特征,通过细胞特异性表达基因鉴定出多种细胞类型:支持细胞、内皮细胞、巨噬细胞、间质细胞、肌样细胞、T/NK细胞和生殖细胞,构建了牦牛和犏牛睾丸细胞图谱。此外,结合拟时序分析探究了睾丸间质细胞和肌样细胞的分化来源,并通过细胞通讯分析解析牦牛和犏牛细胞间通讯网络的异同。结合睾丸的免疫荧光结果,确定MAGEA10和SNCB可作为支持细胞的marker基因。 综上,本研究在细胞分子水平上揭示了牦牛和犏牛睾丸的生物学特性,并通过比较细胞通讯网络差异为雄性杂交后代不育的生物学研究打下了研究基础和提供了新的见解。
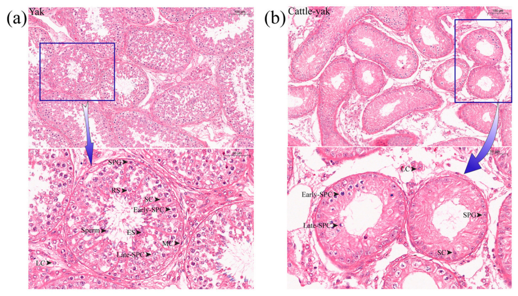
1. 睾丸组织学分析 为了探究牦牛和犏牛的组织学差异,作者对睾丸进行了初步测量。结果显示牦牛的平均睾丸周长、体重和长度均高于杂交后代。牦牛睾丸的生精小管的直径也明显大于犏牛。在牦牛睾丸中,排列紧密的生精小管被丰富的疏松结缔组织和间质细胞包围,在生精上皮中明显有4-7层不同类型和亚型的生精细胞(图1a)。相比之下,犏牛的生精小管排列松散,直径不规则,曲细精管上皮发育不良,有些生精小管中只包含1-2层生精细胞(图1b)。
2. 睾丸的靶向代谢分析 上述实验揭示了牦牛和犏牛的睾丸存在组织学差异。作者进一步比较了牦牛和犏牛类固醇激素代谢物的差异,PCA和OPLS-DA模型结果显示牦牛和犏牛睾丸代谢物谱存在明显差异(图1c,1b)。 在样本中检测到的19种类固醇激素代谢物,有3种在犏牛中下调,包括孕酮和睾酮,14种在犏牛中上调,包括醛固酮、21-脱氧皮质醇和皮质酮(图1e)。为了清楚地突出牦牛组和犏牛组之间的差异,作者对这17种代谢物进行了富集分析,犏牛样品中下调的代谢产物主要集中在GnRH分泌等途径中;犏牛样本中上调的代谢产物主要参与类固醇激素的生物合成、皮质醇的合成和分泌、醛固酮的产生和分泌以及其他的信号通路(图1h)。
图1(a、b) 牦牛和犏牛睾丸的组织学比较 图1(c~h) 牦牛和犏牛睾丸的靶向类固醇激素代谢分析
3. 睾丸单细胞测序及细胞类型鉴定 为了进一步了解杂交对睾丸的具体影响,作者收集了牦牛及犏牛的睾丸样本进行单细胞测序。对经过质控保留的高质量细胞采用UMAP方法进行降维聚类。将细胞分为了18个簇(图2a)。 根据已报道的标记基因,将这18个细胞簇注释为7种细胞类型(图2d),包括支持细胞:SCs(INHA、DEFB123和AARD)、内皮细胞:ECs(VWF、PECAM1和KDR)、巨噬细胞(CD163、C1QA和CSF1R)、间质细胞:LCs(APOD、IGF1和PDGFRA)、肌样细胞:MCs(ACTA2、MYH11和WFDC1)、T/NK细胞(IL7R、NKG7和CCL5)和生殖细胞(UCHL1、TKTL1、SYCP3和RAD51AP2)(图2b,2c)。
图2 睾丸组织的细胞聚类及细胞类型鉴定
4. 体细胞的组间比较及LCs_MCs细胞轨迹分析 作者比较了5个不同体细胞群在牦牛和犏牛样本之间的差异。Jaccard和Bray-Curtis分析表明,相对于其他体细胞群,支持细胞和间质细胞_肌样细胞在牦牛和犏牛之间的差异更明显(图3a)。作者后续着重分析了睾丸间质细胞和肌样细胞。 在最初始的细胞大类降维聚类结果里,LCs由cluster1、3、4、7、9和18组成,MCs包含cluster6、8、9和13。同时在同一cluster中有检索到以上两类细胞类型的标记基因表达,表示这两种细胞类型之间有一定程度的细胞重叠。曾有文献报道:人类青少年中的MCs和LCs来自相同的祖细胞,为了探究犏牛中MCs和LCs是否也有共同来源,作者对cluster1、3、4、6、7、8、9、13和18进行了拟时序分析。结果显示,LCs和MCs是由同一细胞类型-祖细胞分化而来的(图3b)。
图3 体细胞群分析和MCs和LCs之间的拟时序分析
5.牦牛和犏牛睾丸组织体细胞功能富集分析 体细胞在睾丸发育和精子发生过程中起着重要作用,作者进一步对体细胞SCs和LCs_MCs细胞群进行了组间差异基因分析及差异基因GO和KEGG功能富集分析。 SCs细胞组间差异富集结果显示,在犏牛表达下调的基因富集在多种生物活性通路上,包括“rRNA结合、泛素连接酶抑制剂、p53类介质调控信号转导和MHC蛋白复合物活性”(图4a);上调的基因在“分子功能抑制剂、细胞凋亡调控、细胞群增殖负调控和程序性细胞死亡活性调控”等方面富集(图4c)。 对LCs_MCs差异表达基因进行GO\KEGG富集分析表明,犏牛表达上调的基因在“半胱氨酸型内肽酶抑制剂、分子功能抑制剂和肽激素结合”方面显著富集;下调的基因在“与信号受体结合、分子功能调节、生物过程的正向调节和细胞通讯活性调节”相关的功能中富集。
图4 牦牛和犏牛睾丸中不同细胞群差异基因的功能富集分析
6. 细胞通讯分析 为了探究牦牛和犏牛睾丸里各细胞类型相互作用的受配体关系及细胞通讯网络是否存在差异,作者对各个细胞类型进行了细胞通讯分析。结果显示,牦牛和犏牛睾丸组织中SCs与其他细胞类型的通讯网络较为相似:SCs主要调控生殖细胞、LCs_MCs、巨噬细胞、ECs和T/NK细胞,且主要受ECs、LCs_MCs、SPCs和SCs的调控;而LCs_MCs与其他细胞的互作在牦牛和犏牛中存在一定差异:牦牛中,LCs_MCs主要调节LCs_MCs、ECs、巨噬细胞、所有生精细胞、SCs和T/NK细胞。而犏牛的LCs_MCs没有与生殖细胞相互作用(图5a-c)。 综上,从细胞通讯网络角度揭示了牦牛、犏牛中各细胞类型互作的共性与差异,发现了犏牛LCs_MCs和生殖细胞之间不存在细胞通讯关系,提示我们可能犏牛睾丸中的体细胞生态位是一个不利于精子发生的微环境。
图5 细胞通讯分析
7. SCs细胞标记基因的验证 以上通过靶向代谢组学及单细胞转录组学对牦牛和犏牛睾丸的代谢和转录异质性进行了相关研究。目前,高分文章的趋势是组学分析加上湿实验验证,为了验证特殊物种单细胞测序数据的可靠性及数据挖掘的特异性,基于单细胞数据,作者选择了SCs细胞中特异表达的MAGEA10和SNCB基因(图6a)进行免疫荧光染色。结果显示,在生精小管壁到中央管腔的SCs中均有检测到基因MAGEA10和SNCB实际表达(图6b,2c)。综上所述,免疫荧光结果与scRNA-seq结果保持一致,确定了单细胞测序技术应用于特殊物种的普适性和可靠性。
图6 SCs标记基因的免疫荧光验证
1. 基于scRNA-seq技术描绘了牦牛和犏牛睾丸的细胞图谱。 2. 拟时序分析揭示牦牛和犏牛LCs和MCs有着共同的祖细胞。 3. 细胞通讯揭示犏牛LC_MC与生殖细胞之间没有通讯关系,可能表明雄性犏牛睾丸有着不利于精子发生的微环境。 4. MAGEA10和SNCB基因可作为犏牛支持细胞的marker基因。
原文链接: Wang X, Pei J, Xiong L, Kang Y, Guo S, Cao M, Ding Z, Bao P, Chu M, Liang C, Yan P, Guo X. Single-cell RNA sequencing and UPHLC-MS/MS targeted metabolomics offer new insights into the etiological basis for male cattle-yak sterility. Int J Biol Macromol. 2023 Dec 31;253(Pt 3):126831.






